Présentation technique des INNOVATIONS de la gamme ACUVUE® OASYS MAX 1-Day : ACUVUE® OASYS MAX 1-Day Multifocal for astigmatism & ACUVUE® OASYS MAX 1-Day for astigmatism
Figures 2A et 2B. Rétinophotos d’un patient myope fort - 16,00 OD (A) et - 17,50 OG (B) présentant un glaucome traité par trithérapie. Noter la présence d’une atrophie choriorétinienne diffuse, de staphylomes péripapillaires et maculaires des 2 côtés, ainsi qu’une dysversion papillaire plus marquée à gauche.
Figure 3. Examen à la lampe à fente de l’adaptation en piggy back avec LRPG Menicon Rose K2 PG et LSH Alcon Dailies Total One. À gauche : Examen à la fluorescéine satisfaisant, présence de bulles de pose ; il conviendra de revoir la manipulation pour les éviter. À gauche : Examen en lumière blanche, LRPG décentrée vers le haut.
Figure 2. Examen à la lampe à fente avec la LRPG Menicon Rose K2 PG. À gauche : Examen lumière blanche : LRPG en position supérieure, corectopie et atrophie irienne en rapport avec le syndrome ICE. À droite : Examen à la fluorescéine après adaptation ; la lentille est prescrite à l’essai.
Néovaisseau du myope fort : ne pas méconnaître une choroïdite multifocale ou une choroïdite ponctuée interne et savoir quand démarrer un immunosuppresseur
Figure 3. Imagerie multimodale d’une patiente de 34 ans atteinte de PIC. Le panneau (A) montre une photographie en couleur du fond d’œil d’un œil à aspect myopique, présentant des zones d’atrophie en plaques et de multiples lésions de PIC. (B) L’angiographie à la fluorescéine révèle plusieurs foyers hyperfluorescents au pôle postérieur. Le panneau (C) montre une coupe OCT à travers ces zones : en position sous-fovéolaire (pointe de flèche), on observe une lésion active caractérisée par un dédoublement du complexe membrane de Bruch–EPR, une rupture de la membrane de Bruch, une hypertransmission choroïdienne et un épaississement choroïdien ; à l’inverse, une lésion inactive adjacente (étoile) se caractérise uniquement par une interruption du complexe membrane de Bruch–EPR avec hypertransmission choroïdienne. Le panneau (D) montre une angiographie au vert d’indocyanine en phase tardive, avec une ligne hypofluorescente ramifiée compatible avec des lacquer cracks (étoile). Le panneau (E) montre l’autofluorescence du fond d’œil au niveau du pôle postérieur, où les lésions actives apparaissent comme des zones de légère hyperautofluorescence (pointe de flèche), tandis que la cicatrice atrophique centrale apparaît hypoautofluorescente.
Lire l'article associé Néovaisseau du myope fort : ne pas méconnaître une choroïdite multifocale ou une choroïdite ponctuée interne et savoir quand démarrer un immunosuppresseur
Néovaisseau du myope fort : ne pas méconnaître une choroïdite multifocale ou une choroïdite ponctuée interne et savoir quand démarrer un immunosuppresseur
Figure 2. Patiente de 26 ans présentant une baisse d’acuité visuelle avec un décollement séreux rétinien hémorragique visible à l’OCT (A, tête de flèche). Les temps tardifs de l’angiographie à la fluorescéine ne montrent aucune diffusion (B) et la rupture de la membrane de Bruch est hypofluorescente sur le temps tardif de l’angiographie au vert d’indocyanine (C). L’OCT-A segmentée sur la rétine externe ne montre aucun signal vasculaire (D).
Lire l'article associé Néovaisseau du myope fort : ne pas méconnaître une choroïdite multifocale ou une choroïdite ponctuée interne et savoir quand démarrer un immunosuppresseur
Néovaisseau du myope fort : ne pas méconnaître une choroïdite multifocale ou une choroïdite ponctuée interne et savoir quand démarrer un immunosuppresseur
Figure 1. (A) Néovaisseau choroïdien myopique accompagné de fluide sous-rétinien.
(B) OCT B-scan horizontale identifiant du fluide sous-rétinien. Il existe une lésion hyperréflective à bords flous avec une hyporéflectivité postérieure et l’absence d’effraction de l’épithélium pigmentaire. (C) La diffusion tardive à l’angiographie à la fluorescéine confirme le diagnostic.
Lire l'article associé Néovaisseau du myope fort : ne pas méconnaître une choroïdite multifocale ou une choroïdite ponctuée interne et savoir quand démarrer un immunosuppresseur
TelCaps : résultats du Delphi et paramètres du laser focal
Figure 1. Différents aspects de TelCaps au fond d’œil chez 3 patients diabétiques.
Chez ces 3 patients, les exsudats, de densité variable, sont l’anomalie la plus évidente et témoignent de l’exsudation active, localisée. La télangiectasie capillaire à l’origine de l’exsudation, d’aspect le plus souvent rouge sombre, est souvent peu ou mal visible. Elle doit être recherchée au centre de la couronne d’exsudats.
Les bonnes indications de la chirurgie des membranes épimaculaires idiopathiques
Figure 2. Aspect pré- et postopératoire d’une membrane épimaculaire de stade 3.
A, B et C. Aspect préopératoire. L’AV est de 20/40. La patiente est très gênée en vision binoculaire de près et ferme l’œil pour lire. On visualise la membrane sur le B-scan de l’examen en tomographie en cohérence optique, ainsi que la rétraction marquée des couches internes et la disparition de la dépression fovéolaire (A). Les plis rétiniens sont centrés sur la fovea (B). La rétine est épaissie (C).
D, E et F. Deux mois après la chirurgie, l’AV est remontée à 20/25. La cataracte a été opérée dans le même temps. Il n’y a pas de reliquat membranaire ni d’œdème maculaire cystoïde. En revanche, on note que le profil maculaire reste très anormal, avec la persistance du déplacement des couches rétiniennes internes dans la dépression fovéolaire (D). Il n’y a néanmoins plus de plis rétiniens (E). La membrane limitante interne a été pelée et on observe un aspect de dissociation des fibres nerveuses sur l’image en face (E). La macula reste épaissie (F).
Lire l'article associé Les bonnes indications de la chirurgie des membranes épimaculaires idiopathiques
Les bonnes indications de la chirurgie des membranes épimaculaires idiopathiques
Figure 1. Classification de Govetto. Celle-ci repose sur la contraction des couches rétiniennes observées sur le B-scan de l’examen en tomographie en cohérence optique.
A et B. Stade 1. MEM avec préservation de la dépression fovéolaire. Elle est visible à la surface de la rétine sur le B-scan (A). Il y a des plis rétiniens superficiels. On retrouve le creux de la dépression fovéolaire sur le mapping (B). C et D. Stade 2. Disparition de la dépression fovéolaire sans couche rétinienne interne ectopique (EIFL, Ectopic Inner Foveal Layer). On observe un aspect « d’inversion de l’entonnoir fovéolaire » sur le B-scan (C). Le creux de la dépression fovéolaire n’est plus visible sur le mapping (D).
E et F. Stade 3. Disparition de la dépression fovéolaire (EIFL), couches rétiniennes internes encore bien définies. La rétraction est telle que l’espace de la dépression fovéolaire est occupé par les couches rétiniennes internes (E). Il est néanmoins toujours possible de les distinguer. L’épaisseur maculaire est augmentée (F). G et H. Stade 4. Disparition de la dépression fovéolair (EIFL), désorganisation des couches rétiniennes internes. On observe des plis rétiniens intéressant l’ensemble des couches internes (G). L’épaisseur maculaire est augmentée (F).
Lire l'article associé Les bonnes indications de la chirurgie des membranes épimaculaires idiopathiques
Cystinose oculaire isolée chez une fillette de 9 ans
Figure 2. Spectral Domain OCT (Optovue RTVue-100® ; Optovue Inc®, Fremont, Californie, États-Unis).
A. Œil droit et B. Œil gauche : dépôts hyperréflectifs dans l’épithélium, le stroma antérieur et moyen.
Adaptation en lentilles d’une patiente avec un kératocône
Figure 5. Examen biomicroscopique de l’œil droit après instillation de fluorescéine et utilisation d’un filtre jaune. La lentille rigide (*) est posée sur une lentille souple journalière en silicone hydrogel (#).
Adaptation en lentilles d’une patiente avec un kératocône
Figure 4. Examen biomicroscopique de l’œil gauche après instillation de fluorescéine et utilisation d’un filtre jaune. L’aspect sombre au centre correspond à l’apex du cône, car le film lacrymal entre la lentille et la cornée y est plus fin. Le dégagement au bord correspond au cercle vert en périphérie de la lentille.
Adaptation en lentilles d’une patiente avec un kératocône
Figure 3. Examen biomicroscopique de l’œil droit après instillation de fluorescéine et utilisation d’un filtre jaune. L’aspect sombre au centre correspond à l’apex du cône, car le film lacrymal entre la lentille et la cornée y est plus fin. Le dégagement au bord correspond au cercle vert en périphérie de la lentille.
Le collyre Olisens (aganirsen) dans la lutte contre la néovascularisation cornéenne : le point bibliographique
Figure 2. Exemple d’un patient traité par Olisens. A gauche : avant le traitement, présence d’un tronc néovasculaire actif avec extension sur la greffe de cornée. A droite : après 3 mois d’Olisens, diminution du calibre et de l’extension de la néovascularisation.
Lire l'article associé Le collyre Olisens (aganirsen) dans la lutte contre la néovascularisation cornéenne : le point bibliographique
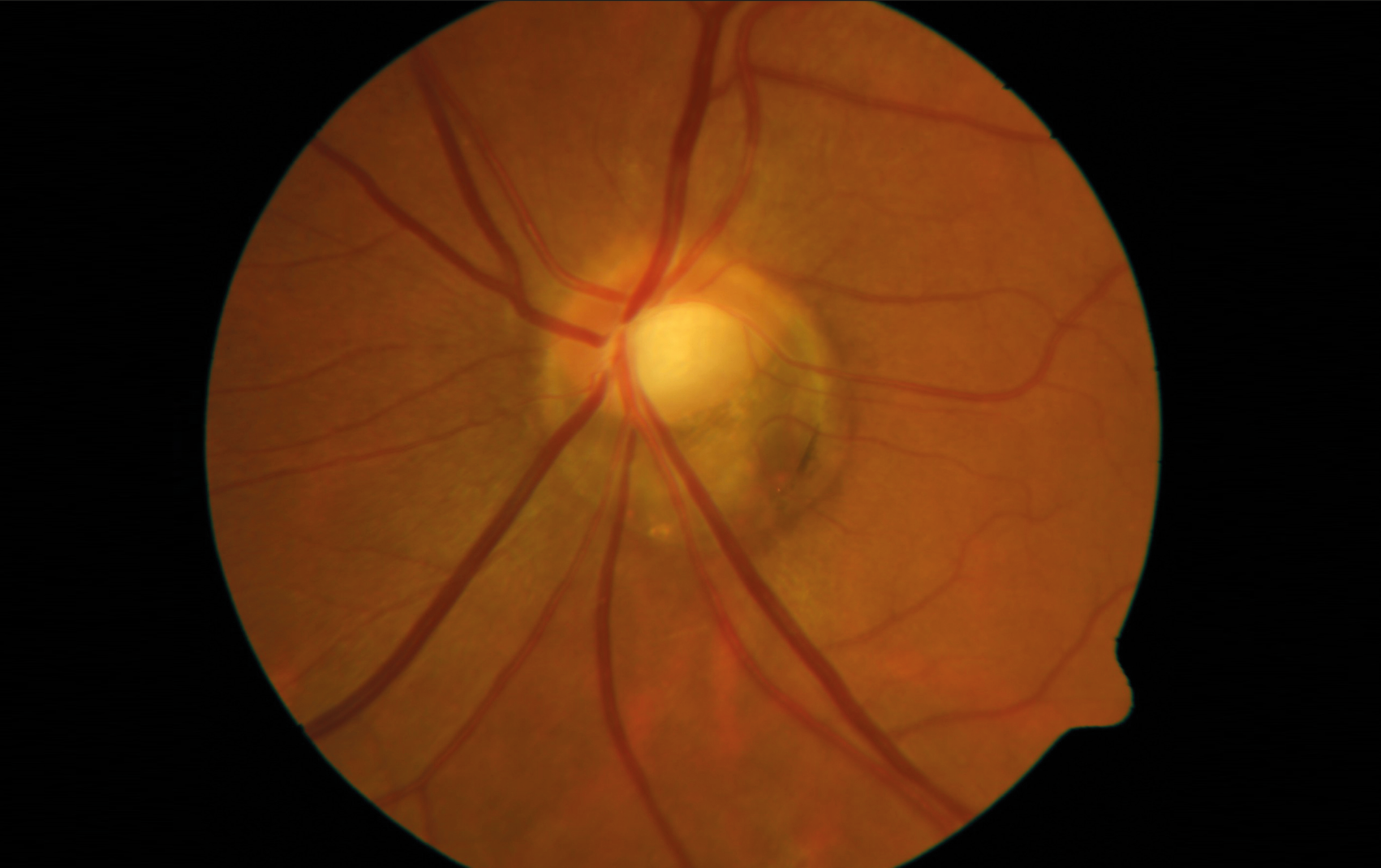
Figure 1. Papille de l’œil gauche présentant une inclinaison typique vers le quadrant temporal inférieur, ainsi qu’une rotation majeure. Notez la vaste zone d’atrophie péripapillaire dans la partie inférieure ; en cas de glaucome, cette zone est généralement la première touchée.
Figure 2. Vues opératoires des 4 principales procédures réfractives pour traiter la myopie montrant bien les différences technologiques (illustration D. Touboul).
Figure 5. À gauche : Schisis du myope fort avec menace de trou maculaire. Au milieu : J7 postchirurgie avec Foveal Sparing. À droite : M10 postchirurgie.
Neuropathie optique : quand la solution émerge de la conjonctive. À propos d’un cas clinique commenté
Figure 3. A. Taches de Bitôt OD/OG au moment du diagnostic en lumière blanche, puis en lumière bleue avec instillation de fluorescéine : notez l’aspect « vers luisants » de la conjonctive temporale.
B. Disparition des taches à 3 mois de la supplémentation vitaminique OD/OG.
Lire l'article associé Neuropathie optique : quand la solution émerge de la conjonctive. À propos d’un cas clinique commenté
Neuropathie optique : quand la solution émerge de la conjonctive. À propos d’un cas clinique commenté
Figure 2. A. OCT RNFL initial OD/OG objectivant une atrophie temporale bilatérale.
Figure 2. B. OCT RNFL à 3 mois d’évolution OD/OG témoignant d’un amincissement diffus du RNFL ODG malgré la supplémentation initiée.
Lire l'article associé Neuropathie optique : quand la solution émerge de la conjonctive. À propos d’un cas clinique commenté
Figure 4. Décollement de rétine chez un patient atteint d’un glaucome congénital et prise en charge chirurgicale. A. Opacités du segment antérieur liées au glaucome, rendant difficiles l’examen du fond d’œil et la chirurgie. B. Photographie peropératoire : décollement de rétine total. C. Photographie peropératoire : déhiscence périphérique responsable du décollement de rétine. D. À 3 mois postopératoires, la rétine est à plat sous tamponnement par huile de silicone.
Figure 3. Dystrophie rétinienne héréditaire liée à une mutation du gène RPE65 et thérapie génique. A. Rétinophotographie montrant des lésions blanchâtres intrarétiniennes avec une macula relativement préservée. B. Autofluorescence mettant en évidence l’hypo-autofluorescence de la rétine périphérique et l’anneau d’hyper-autofluorescence central. C. Photographie pendant une vitrectomie 25G et aspect de la bulle d’injection sous-rétinienne de Luxturna® (images du Pr Daruich).
Figure 2. Exemples d’hémorragies rétiniennes pédiatriques. A. Syndrome du bébé secoué. Hémorragies multiples de localisation rétro-hyaloïdienne maculaire, intra- prérétinienne. B. Hémorragies intrarétiniennes et en flammèches faisant suite à un accouchement par voie basse (image Pr Daruich, hôpital Necker). C. Hémorragie intravitréenne dans le cadre d’un rétinoschisis lié à l’X. D. Rétinopathie du prématuré montrant un arrêt de la vascularisation entre la rétine vascularisée et la rétine non vascularisée (têtes de flèche jaunes), une hémorragie liée à une néovascularisation associée (flèche noire), ainsi qu’une tortuosité vasculaire et dilation veineuse au pôle postérieur (stade 3, zone 2, maladie plus).
Figure 1. Rétinoblastome et ses diagnostics différentiels. A. Décollement de rétine sur rétinoblastome (image Pr Matet, Institut Curie). B. Persistance de la vascularisation fœtale montrant un cordon hyaloïdien (têtes de flèche) reliant la capsule postérieure du cristallin à la papille optique. C. Décollement de rétine exsudative associant des exsudats jaunâtres et des télangiectasies vasculaires (flèches) dans le cadre d’une maladie de Coats (stade 3B).
Figure 2. A. Avant, un marquage manuel à niveau à bulle était nécessaire juste avant l’entrée du patient en salle opératoire, étape chronophage et peu fiable. B. Désormais, l’image préopératoire acquise lors de la biométrie est automatiquement transférée au microscope opératoire, qui identifie l’axe 0‑180° sans marquage préalable. Ce guidage numérique permet une implantation torique plus rapide et plus précise.
Figure 1. Les filtres numériques permettent d’améliorer les contrastes des différentes structures tissulaires. A. Paramètres digitaux modifiables sur le NGenuity 3D d'Alcon. B. Amélioration de la visualisation du pigment maculaire. C. Filtre Blue Booster qui augmente le contraste de la coloration bleue. D et E. Filtres sépia et noir/blanc permettant l’amélioration de contact des fragments cristalliniens et des masses.
Quand arrêter le traitement de la DMLA néovasculaire ?
Figure 1. Évolution vers l’atrophie d’un néovaisseau de type 3. Bien que l’activité néovasculaire du néovaisseau soit bien maîtrisée avec le traitement, l’acuité visuelle a progressivement diminué à cause de l’atrophie sous-jacente.
Vieillissement du réseau trabéculaire et progression du glaucome
Figure 2. Le trabéculum juxtacanaliculaire dans la pince lors d’une sclérectomie profonde. C’est ce trabéculum qui offre 80 % de la résistance à l’écoulement de l’humeur aqueuse par la voie trabéculaire.
Figure 2. Examen à la lampe à fente avec la LRPG Menicon Rose K2 PG. À gauche : Examen lumière blanche : LRPG en position supérieure, corectopie et atrophie irienne en rapport avec le syndrome ICE. À droite : Examen à la fluorescéine après adaptation ; la lentille est prescrite à l’essai.
Figure 3. Examen à la lampe à fente de l’adaptation en piggy back avec LRPG Menicon Rose K2 PG et LSH Alcon Dailies Total One. À gauche : Examen à la fluorescéine satisfaisant, présence de bulles de pose ; il conviendra de revoir la manipulation pour les éviter. À gauche : Examen en lumière blanche, LRPG décentrée vers le haut.
Figure 1. (A) Néovaisseau choroïdien myopique accompagné de fluide sous-rétinien.
(B) OCT B-scan horizontale identifiant du fluide sous-rétinien. Il existe une lésion hyperréflective à bords flous avec une hyporéflectivité postérieure et l’absence d’effraction de l’épithélium pigmentaire. (C) La diffusion tardive à l’angiographie à la fluorescéine confirme le diagnostic.
Figure 2. Patiente de 26 ans présentant une baisse d’acuité visuelle avec un décollement séreux rétinien hémorragique visible à l’OCT (A, tête de flèche). Les temps tardifs de l’angiographie à la fluorescéine ne montrent aucune diffusion (B) et la rupture de la membrane de Bruch est hypofluorescente sur le temps tardif de l’angiographie au vert d’indocyanine (C). L’OCT-A segmentée sur la rétine externe ne montre aucun signal vasculaire (D).
Figure 3. Imagerie multimodale d’une patiente de 34 ans atteinte de PIC. Le panneau (A) montre une photographie en couleur du fond d’œil d’un œil à aspect myopique, présentant des zones d’atrophie en plaques et de multiples lésions de PIC. (B) L’angiographie à la fluorescéine révèle plusieurs foyers hyperfluorescents au pôle postérieur. Le panneau (C) montre une coupe OCT à travers ces zones : en position sous-fovéolaire (pointe de flèche), on observe une lésion active caractérisée par un dédoublement du complexe membrane de Bruch–EPR, une rupture de la membrane de Bruch, une hypertransmission choroïdienne et un épaississement choroïdien ; à l’inverse, une lésion inactive adjacente (étoile) se caractérise uniquement par une interruption du complexe membrane de Bruch–EPR avec hypertransmission choroïdienne. Le panneau (D) montre une angiographie au vert d’indocyanine en phase tardive, avec une ligne hypofluorescente ramifiée compatible avec des lacquer cracks (étoile). Le panneau (E) montre l’autofluorescence du fond d’œil au niveau du pôle postérieur, où les lésions actives apparaissent comme des zones de légère hyperautofluorescence (pointe de flèche), tandis que la cicatrice atrophique centrale apparaît hypoautofluorescente.
Figure 1. (A) Néovaisseau choroïdien myopique accompagné de fluide sous-rétinien.
(B) OCT B-scan horizontale identifiant du fluide sous-rétinien. Il existe une lésion hyperréflective à bords flous avec une hyporéflectivité postérieure et l’absence d’effraction de l’épithélium pigmentaire. (C) La diffusion tardive à l’angiographie à la fluorescéine confirme le diagnostic.
Figure 3. Imagerie multimodale d’une patiente de 34 ans atteinte de PIC. Le panneau (A) montre une photographie en couleur du fond d’œil d’un œil à aspect myopique, présentant des zones d’atrophie en plaques et de multiples lésions de PIC. (B) L’angiographie à la fluorescéine révèle plusieurs foyers hyperfluorescents au pôle postérieur. Le panneau (C) montre une coupe OCT à travers ces zones : en position sous-fovéolaire (pointe de flèche), on observe une lésion active caractérisée par un dédoublement du complexe membrane de Bruch–EPR, une rupture de la membrane de Bruch, une hypertransmission choroïdienne et un épaississement choroïdien ; à l’inverse, une lésion inactive adjacente (étoile) se caractérise uniquement par une interruption du complexe membrane de Bruch–EPR avec hypertransmission choroïdienne. Le panneau (D) montre une angiographie au vert d’indocyanine en phase tardive, avec une ligne hypofluorescente ramifiée compatible avec des lacquer cracks (étoile). Le panneau (E) montre l’autofluorescence du fond d’œil au niveau du pôle postérieur, où les lésions actives apparaissent comme des zones de légère hyperautofluorescence (pointe de flèche), tandis que la cicatrice atrophique centrale apparaît hypoautofluorescente.
Figure 2. Patiente de 26 ans présentant une baisse d’acuité visuelle avec un décollement séreux rétinien hémorragique visible à l’OCT (A, tête de flèche). Les temps tardifs de l’angiographie à la fluorescéine ne montrent aucune diffusion (B) et la rupture de la membrane de Bruch est hypofluorescente sur le temps tardif de l’angiographie au vert d’indocyanine (C). L’OCT-A segmentée sur la rétine externe ne montre aucun signal vasculaire (D).
Figure 1. Classification de Govetto. Celle-ci repose sur la contraction des couches rétiniennes observées sur le B-scan de l’examen en tomographie en cohérence optique.
A et B. Stade 1. MEM avec préservation de la dépression fovéolaire. Elle est visible à la surface de la rétine sur le B-scan (A). Il y a des plis rétiniens superficiels. On retrouve le creux de la dépression fovéolaire sur le mapping (B). C et D. Stade 2. Disparition de la dépression fovéolaire sans couche rétinienne interne ectopique (EIFL, Ectopic Inner Foveal Layer). On observe un aspect « d’inversion de l’entonnoir fovéolaire » sur le B-scan (C). Le creux de la dépression fovéolaire n’est plus visible sur le mapping (D).
E et F. Stade 3. Disparition de la dépression fovéolaire (EIFL), couches rétiniennes internes encore bien définies. La rétraction est telle que l’espace de la dépression fovéolaire est occupé par les couches rétiniennes internes (E). Il est néanmoins toujours possible de les distinguer. L’épaisseur maculaire est augmentée (F). G et H. Stade 4. Disparition de la dépression fovéolair (EIFL), désorganisation des couches rétiniennes internes. On observe des plis rétiniens intéressant l’ensemble des couches internes (G). L’épaisseur maculaire est augmentée (F).
Figure 2. Aspect pré- et postopératoire d’une membrane épimaculaire de stade 3.
A, B et C. Aspect préopératoire. L’AV est de 20/40. La patiente est très gênée en vision binoculaire de près et ferme l’œil pour lire. On visualise la membrane sur le B-scan de l’examen en tomographie en cohérence optique, ainsi que la rétraction marquée des couches internes et la disparition de la dépression fovéolaire (A). Les plis rétiniens sont centrés sur la fovea (B). La rétine est épaissie (C).
D, E et F. Deux mois après la chirurgie, l’AV est remontée à 20/25. La cataracte a été opérée dans le même temps. Il n’y a pas de reliquat membranaire ni d’œdème maculaire cystoïde. En revanche, on note que le profil maculaire reste très anormal, avec la persistance du déplacement des couches rétiniennes internes dans la dépression fovéolaire (D). Il n’y a néanmoins plus de plis rétiniens (E). La membrane limitante interne a été pelée et on observe un aspect de dissociation des fibres nerveuses sur l’image en face (E). La macula reste épaissie (F).
Figure 2. Spectral Domain OCT (Optovue RTVue-100® ; Optovue Inc®, Fremont, Californie, États-Unis).
A. Œil droit et B. Œil gauche : dépôts hyperréflectifs dans l’épithélium, le stroma antérieur et moyen.
Figure 2. Spectral Domain OCT (Optovue RTVue-100® ; Optovue Inc®, Fremont, Californie, États-Unis).
A. Œil droit et B. Œil gauche : dépôts hyperréflectifs dans l’épithélium, le stroma antérieur et moyen.
Figure 3. Examen biomicroscopique de l’œil droit après instillation de fluorescéine et utilisation d’un filtre jaune. L’aspect sombre au centre correspond à l’apex du cône, car le film lacrymal entre la lentille et la cornée y est plus fin. Le dégagement au bord correspond au cercle vert en périphérie de la lentille.
Figure 4. Examen biomicroscopique de l’œil gauche après instillation de fluorescéine et utilisation d’un filtre jaune. L’aspect sombre au centre correspond à l’apex du cône, car le film lacrymal entre la lentille et la cornée y est plus fin. Le dégagement au bord correspond au cercle vert en périphérie de la lentille.
Figure 3. Examen biomicroscopique de l’œil droit après instillation de fluorescéine et utilisation d’un filtre jaune. L’aspect sombre au centre correspond à l’apex du cône, car le film lacrymal entre la lentille et la cornée y est plus fin. Le dégagement au bord correspond au cercle vert en périphérie de la lentille.
Figure 5. Examen biomicroscopique de l’œil droit après instillation de fluorescéine et utilisation d’un filtre jaune. La lentille rigide (*) est posée sur une lentille souple journalière en silicone hydrogel (#).
Figure 4. Examen biomicroscopique de l’œil gauche après instillation de fluorescéine et utilisation d’un filtre jaune. L’aspect sombre au centre correspond à l’apex du cône, car le film lacrymal entre la lentille et la cornée y est plus fin. Le dégagement au bord correspond au cercle vert en périphérie de la lentille.
Figure 5. Examen biomicroscopique de l’œil droit après instillation de fluorescéine et utilisation d’un filtre jaune. La lentille rigide (*) est posée sur une lentille souple journalière en silicone hydrogel (#).
Figure 5. À gauche : Schisis du myope fort avec menace de trou maculaire. Au milieu : J7 postchirurgie avec Foveal Sparing. À droite : M10 postchirurgie.
Figure 5. À gauche : Schisis du myope fort avec menace de trou maculaire. Au milieu : J7 postchirurgie avec Foveal Sparing. À droite : M10 postchirurgie.
Figure 5. À gauche : Schisis du myope fort avec menace de trou maculaire. Au milieu : J7 postchirurgie avec Foveal Sparing. À droite : M10 postchirurgie.
Figure 5. À gauche : Schisis du myope fort avec menace de trou maculaire. Au milieu : J7 postchirurgie avec Foveal Sparing. À droite : M10 postchirurgie.
Figure 5. À gauche : Schisis du myope fort avec menace de trou maculaire. Au milieu : J7 postchirurgie avec Foveal Sparing. À droite : M10 postchirurgie.
Figure 3. A. Taches de Bitôt OD/OG au moment du diagnostic en lumière blanche, puis en lumière bleue avec instillation de fluorescéine : notez l’aspect « vers luisants » de la conjonctive temporale.
B. Disparition des taches à 3 mois de la supplémentation vitaminique OD/OG.
Figure 2. A. OCT RNFL initial OD/OG objectivant une atrophie temporale bilatérale.
Figure 2. B. OCT RNFL à 3 mois d’évolution OD/OG témoignant d’un amincissement diffus du RNFL ODG malgré la supplémentation initiée.
Figure 2. A. OCT RNFL initial OD/OG objectivant une atrophie temporale bilatérale.
Figure 2. B. OCT RNFL à 3 mois d’évolution OD/OG témoignant d’un amincissement diffus du RNFL ODG malgré la supplémentation initiée.
Figure 3. A. Taches de Bitôt OD/OG au moment du diagnostic en lumière blanche, puis en lumière bleue avec instillation de fluorescéine : notez l’aspect « vers luisants » de la conjonctive temporale.
B. Disparition des taches à 3 mois de la supplémentation vitaminique OD/OG.
Figure 2. A. OCT RNFL initial OD/OG objectivant une atrophie temporale bilatérale.
Figure 2. B. OCT RNFL à 3 mois d’évolution OD/OG témoignant d’un amincissement diffus du RNFL ODG malgré la supplémentation initiée.
Figure 3. A. Taches de Bitôt OD/OG au moment du diagnostic en lumière blanche, puis en lumière bleue avec instillation de fluorescéine : notez l’aspect « vers luisants » de la conjonctive temporale.
B. Disparition des taches à 3 mois de la supplémentation vitaminique OD/OG.
Figure 3. Dystrophie rétinienne héréditaire liée à une mutation du gène RPE65 et thérapie génique. A. Rétinophotographie montrant des lésions blanchâtres intrarétiniennes avec une macula relativement préservée. B. Autofluorescence mettant en évidence l’hypo-autofluorescence de la rétine périphérique et l’anneau d’hyper-autofluorescence central. C. Photographie pendant une vitrectomie 25G et aspect de la bulle d’injection sous-rétinienne de Luxturna® (images du Pr Daruich).
Figure 2. Exemples d’hémorragies rétiniennes pédiatriques. A. Syndrome du bébé secoué. Hémorragies multiples de localisation rétro-hyaloïdienne maculaire, intra- prérétinienne. B. Hémorragies intrarétiniennes et en flammèches faisant suite à un accouchement par voie basse (image Pr Daruich, hôpital Necker). C. Hémorragie intravitréenne dans le cadre d’un rétinoschisis lié à l’X. D. Rétinopathie du prématuré montrant un arrêt de la vascularisation entre la rétine vascularisée et la rétine non vascularisée (têtes de flèche jaunes), une hémorragie liée à une néovascularisation associée (flèche noire), ainsi qu’une tortuosité vasculaire et dilation veineuse au pôle postérieur (stade 3, zone 2, maladie plus).
Figure 1. Rétinoblastome et ses diagnostics différentiels. A. Décollement de rétine sur rétinoblastome (image Pr Matet, Institut Curie). B. Persistance de la vascularisation fœtale montrant un cordon hyaloïdien (têtes de flèche) reliant la capsule postérieure du cristallin à la papille optique. C. Décollement de rétine exsudative associant des exsudats jaunâtres et des télangiectasies vasculaires (flèches) dans le cadre d’une maladie de Coats (stade 3B).
Figure 4. Décollement de rétine chez un patient atteint d’un glaucome congénital et prise en charge chirurgicale. A. Opacités du segment antérieur liées au glaucome, rendant difficiles l’examen du fond d’œil et la chirurgie. B. Photographie peropératoire : décollement de rétine total. C. Photographie peropératoire : déhiscence périphérique responsable du décollement de rétine. D. À 3 mois postopératoires, la rétine est à plat sous tamponnement par huile de silicone.
Figure 2. Exemples d’hémorragies rétiniennes pédiatriques. A. Syndrome du bébé secoué. Hémorragies multiples de localisation rétro-hyaloïdienne maculaire, intra- prérétinienne. B. Hémorragies intrarétiniennes et en flammèches faisant suite à un accouchement par voie basse (image Pr Daruich, hôpital Necker). C. Hémorragie intravitréenne dans le cadre d’un rétinoschisis lié à l’X. D. Rétinopathie du prématuré montrant un arrêt de la vascularisation entre la rétine vascularisée et la rétine non vascularisée (têtes de flèche jaunes), une hémorragie liée à une néovascularisation associée (flèche noire), ainsi qu’une tortuosité vasculaire et dilation veineuse au pôle postérieur (stade 3, zone 2, maladie plus).
Figure 1. Rétinoblastome et ses diagnostics différentiels. A. Décollement de rétine sur rétinoblastome (image Pr Matet, Institut Curie). B. Persistance de la vascularisation fœtale montrant un cordon hyaloïdien (têtes de flèche) reliant la capsule postérieure du cristallin à la papille optique. C. Décollement de rétine exsudative associant des exsudats jaunâtres et des télangiectasies vasculaires (flèches) dans le cadre d’une maladie de Coats (stade 3B).
Figure 4. Décollement de rétine chez un patient atteint d’un glaucome congénital et prise en charge chirurgicale. A. Opacités du segment antérieur liées au glaucome, rendant difficiles l’examen du fond d’œil et la chirurgie. B. Photographie peropératoire : décollement de rétine total. C. Photographie peropératoire : déhiscence périphérique responsable du décollement de rétine. D. À 3 mois postopératoires, la rétine est à plat sous tamponnement par huile de silicone.
Figure 3. Dystrophie rétinienne héréditaire liée à une mutation du gène RPE65 et thérapie génique. A. Rétinophotographie montrant des lésions blanchâtres intrarétiniennes avec une macula relativement préservée. B. Autofluorescence mettant en évidence l’hypo-autofluorescence de la rétine périphérique et l’anneau d’hyper-autofluorescence central. C. Photographie pendant une vitrectomie 25G et aspect de la bulle d’injection sous-rétinienne de Luxturna® (images du Pr Daruich).
Figure 1. Rétinoblastome et ses diagnostics différentiels. A. Décollement de rétine sur rétinoblastome (image Pr Matet, Institut Curie). B. Persistance de la vascularisation fœtale montrant un cordon hyaloïdien (têtes de flèche) reliant la capsule postérieure du cristallin à la papille optique. C. Décollement de rétine exsudative associant des exsudats jaunâtres et des télangiectasies vasculaires (flèches) dans le cadre d’une maladie de Coats (stade 3B).
Figure 4. Décollement de rétine chez un patient atteint d’un glaucome congénital et prise en charge chirurgicale. A. Opacités du segment antérieur liées au glaucome, rendant difficiles l’examen du fond d’œil et la chirurgie. B. Photographie peropératoire : décollement de rétine total. C. Photographie peropératoire : déhiscence périphérique responsable du décollement de rétine. D. À 3 mois postopératoires, la rétine est à plat sous tamponnement par huile de silicone.
Figure 2. Exemples d’hémorragies rétiniennes pédiatriques. A. Syndrome du bébé secoué. Hémorragies multiples de localisation rétro-hyaloïdienne maculaire, intra- prérétinienne. B. Hémorragies intrarétiniennes et en flammèches faisant suite à un accouchement par voie basse (image Pr Daruich, hôpital Necker). C. Hémorragie intravitréenne dans le cadre d’un rétinoschisis lié à l’X. D. Rétinopathie du prématuré montrant un arrêt de la vascularisation entre la rétine vascularisée et la rétine non vascularisée (têtes de flèche jaunes), une hémorragie liée à une néovascularisation associée (flèche noire), ainsi qu’une tortuosité vasculaire et dilation veineuse au pôle postérieur (stade 3, zone 2, maladie plus).
Figure 3. Dystrophie rétinienne héréditaire liée à une mutation du gène RPE65 et thérapie génique. A. Rétinophotographie montrant des lésions blanchâtres intrarétiniennes avec une macula relativement préservée. B. Autofluorescence mettant en évidence l’hypo-autofluorescence de la rétine périphérique et l’anneau d’hyper-autofluorescence central. C. Photographie pendant une vitrectomie 25G et aspect de la bulle d’injection sous-rétinienne de Luxturna® (images du Pr Daruich).
Figure 1. Les filtres numériques permettent d’améliorer les contrastes des différentes structures tissulaires. A. Paramètres digitaux modifiables sur le NGenuity 3D d'Alcon. B. Amélioration de la visualisation du pigment maculaire. C. Filtre Blue Booster qui augmente le contraste de la coloration bleue. D et E. Filtres sépia et noir/blanc permettant l’amélioration de contact des fragments cristalliniens et des masses.
Figure 2. A. Avant, un marquage manuel à niveau à bulle était nécessaire juste avant l’entrée du patient en salle opératoire, étape chronophage et peu fiable. B. Désormais, l’image préopératoire acquise lors de la biométrie est automatiquement transférée au microscope opératoire, qui identifie l’axe 0‑180° sans marquage préalable. Ce guidage numérique permet une implantation torique plus rapide et plus précise.
Figure 1. Évolution vers l’atrophie d’un néovaisseau de type 3. Bien que l’activité néovasculaire du néovaisseau soit bien maîtrisée avec le traitement, l’acuité visuelle a progressivement diminué à cause de l’atrophie sous-jacente.
Figure 1. Évolution vers l’atrophie d’un néovaisseau de type 3. Bien que l’activité néovasculaire du néovaisseau soit bien maîtrisée avec le traitement, l’acuité visuelle a progressivement diminué à cause de l’atrophie sous-jacente.
Figure 2. Le trabéculum juxtacanaliculaire dans la pince lors d’une sclérectomie profonde. C’est ce trabéculum qui offre 80 % de la résistance à l’écoulement de l’humeur aqueuse par la voie trabéculaire.
Figure 2. Schisis maculaire myopique en imagerie OCT ultra grand champ objectivant l’adhérence pathologique du vitré, avec des tractions exercées sur les vaisseaux rétiniens (tête de flèche), et l’étirement de la rétine externe maculaire associé à un détachement fovéolaire (flèche).
Présentation technique des INNOVATIONS de la gamme ACUVUE® OASYS MAX 1-Day : ACUVUE® OASYS MAX 1-Day Multifocal for astigmatism & ACUVUE® OASYS MAX 1-Day for astigmatism
Marseille Ophtalmologie : Nouveauté en Thérapeutique et Imagerie
Le thème de l’édition 2026, Regards Croisés, met en lumière la richesse des échanges et des complémentarités dans nos domaines d’expertise respectifs. Cette édition promet d'apporter tous les outils, nouveautés et données scientifiques, avec comme objectif premier de proposer à vos patients jeunes et âgés, le meilleur suivi ophtalmologique qu’il soit.